
被忽视的鼻中隔偏曲
该文章由郑州民生耳鼻喉于2024年03月11日发表免费预约咨询医生
病例
30岁的王先生(化名)受鼻腔反复出血和鼻塞困扰已经两三年了,刚开始发现时,以为是上火或者感冒而不以为然,久而久之,日甚一日。近期,不堪其扰的王先生来到郑州民生耳鼻喉医院就诊。门诊部主任徐留见详细询问其病史,并行鼻镜、鼻窦CT等检查后,明确了其病因为鼻中隔偏曲,建议行“经鼻内镜鼻中隔偏曲矫正术”。经过详细地了解,王先生采纳了徐主任的建议。术后,在医护人员精心照护下,反复困扰王先生的鼻部症状完全消失了。
那么什么是鼻中隔?鼻中隔偏曲有什么危害?需要怎么处理?今天我们一起来了解一下。
什么是鼻中隔偏曲
鼻中隔是位于双侧鼻腔之间的“隔断”,鼻中隔偏曲是指鼻中隔向一侧或两侧偏曲,或者一侧或者两侧局部突起,通俗地讲就是鼻中隔歪了,歪向一边或者歪向两边,这样导致两侧的鼻腔结构不对称,一边宽一边窄,所以窄的一边容易出现鼻堵,甚至呼吸困难。如未造成鼻功能障碍的偏曲称为“生理性偏曲”,如引起鼻功能障碍,就需要及时治疗了。


引起鼻中隔偏曲的原因有哪些
01鼻外伤:各年龄段的鼻外伤,造成鼻中隔骨折或脱位,不及时处理,可遗留鼻中隔偏曲。
02发育异常:参与构成鼻中隔的骨、软骨和周围颌面骨骼发育不均衡会造成骨与骨、骨与软骨连接处发生畸形扭曲,造成鼻中隔偏曲。
03占位性病变:鼻腔或鼻窦肿瘤,生长比较大时,会压迫鼻中隔形成偏曲。
04先天遗传:鼻中隔偏曲与遗传因素有关。
鼻中隔偏曲的常见表现
鼻中隔偏曲的患者大多数会出现鼻塞、鼻出血、头痛的表现,具体如下:
01鼻塞
这属于鼻中隔偏曲比较常见的症状,大多数为单侧或双侧持续性鼻塞,如果鼻中隔偏曲合并急、慢性鼻炎,鼻塞则不容易恢复,情况严重还会引起嗅觉减退。
鼻中隔偏曲轻症者一般以鼻堵塞为主要临床表现,当影响鼻道引流时,则可能诱发鼻窦炎,长期鼻堵塞引起慢性缺氧。可致婴幼儿及青少年生长发育迟缓,成年人引起睡眠呼吸暂停低通气综合征,即睡眠时打鼾、张口呼吸,严重者可伴憋气、憋醒,出现晨起咽干、白天嗜睡、记忆力下降等情况,严重影响生活、工作及身体健康。
02鼻出血
经常发生在偏曲的凸面、顶尖部、骨棘部位,因为此处黏膜张力较大而且较薄,会受到气流以及尘埃的刺激,从而引起黏膜糜烂出血。
03头疼
鼻中隔偏曲部位压迫下鼻甲或中鼻甲部位,会引起同侧反射性头痛。
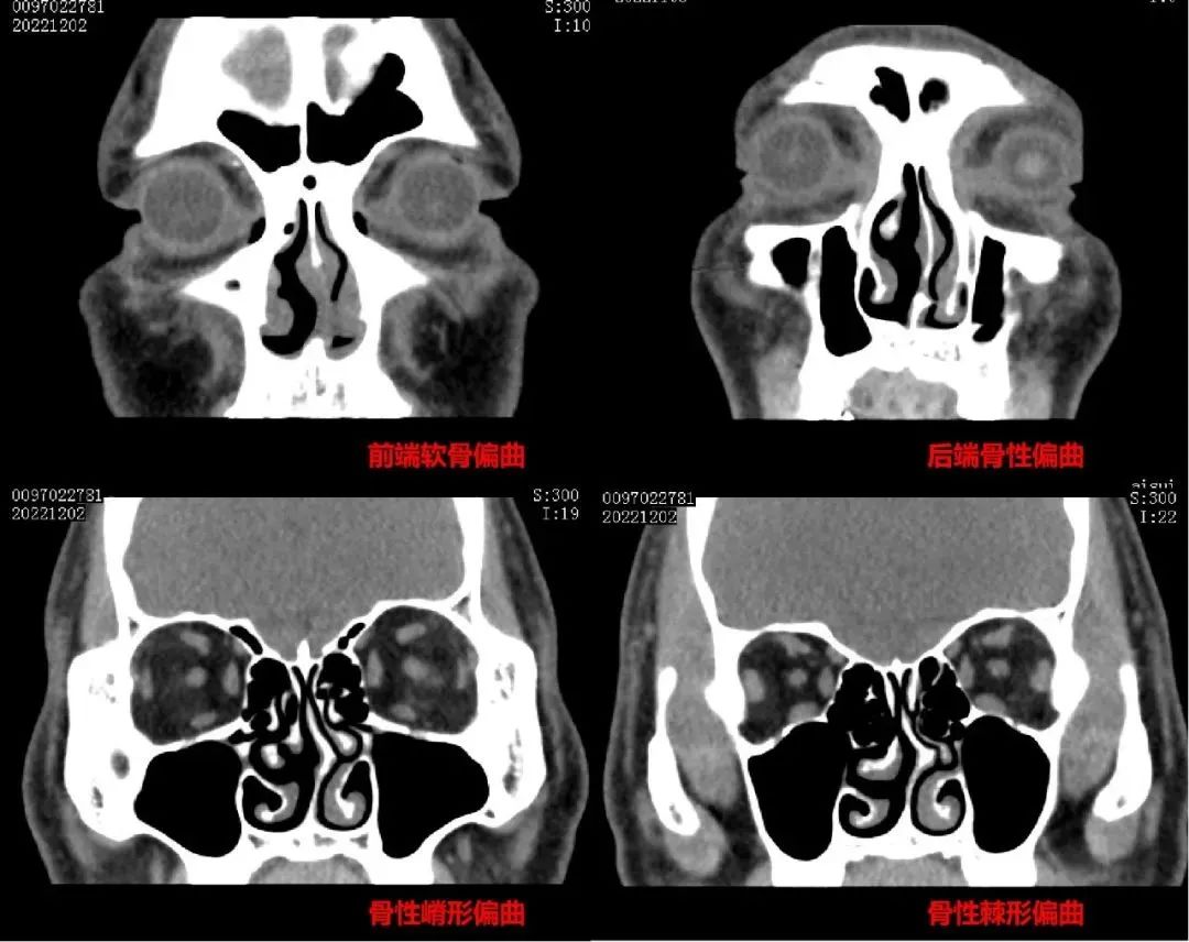
鼻中隔偏曲的诊断
鼻中隔偏曲一般通过鼻内镜和CT扫描检查确诊。


鼻中隔偏曲的治疗
大约40%-60%的人都可能会有或轻或重的鼻中隔偏曲。如果没有症状,一般可不用治疗。但如果出现长时间持续性鼻塞、反复鼻出血、影响鼻窦引流的症状就需要及时就医了,鼻中隔偏曲是一种鼻腔结构的异常,所以不能用药物解决问题,手术矫正是唯一有效的治疗方法。

鼻中隔偏曲围手术期的注意事项
01男性患者术前需剔除胡须,剪鼻毛,鼻腔冲洗,同时用肥皂清洗周围和外鼻的皮肤,做好患者的清洁卫生工作。
02术前进行张口呼吸练习,避免术后双鼻腔填塞造成烦躁、紧张等心理。
03使用鼻喷制剂:通常患者在做鼻中隔偏曲矫正手术以后需要进行鼻腔填塞,24-48小时后取出鼻腔填塞物。此时建议患者使用鼻喷制剂,如糖皮质激素类,包括布地奈德等进行鼻腔喷敷治疗,从而减轻术后黏膜水肿。
04鼻腔保湿:术后需保持鼻腔湿润,避免到空气干燥或灰尘多的环境中,可采用空气加湿或油类滴鼻方法保湿。
05改善不良习惯:患者在术后应避免用力擤鼻子、挖鼻孔等,否则会引起伤口出血、黏膜糜烂、继发感染。
医院简介

郑州民生耳鼻喉医院成立于2010年,是经省、市卫健委批准的国家二级甲等医院,医院隶属于民生五官科医疗集团,是河南省重特大疾病即时结算定点医疗机构;市残疾儿童康复救助定点康复机构;省、市、城乡居民医保定点医疗机构;平安保险、新华保险、长城保险、中煤保险定点医疗机构;郑州大学研究生联合培养基地。
医院发展十余年来,连续4年被二七区人民政府颁发“最具社会责任感企业奖”;2016年被二七区区委、区政府颁发“慈善企业”奖,荣获二七区“五一劳动奖”等多项殊荣;蝉联多届“全国百姓放心示范医院”、“全国诚信民营医院”荣誉称号。无肌松全身麻醉技术在耳鼻喉手术中的运用还曾荣获河南省医学新技术引进奖三等奖。在2021年度河南省“提升医疗服务十大举措”中,被河南省卫健委评为“预约服务精准化”标杆单位。
医院专科分类齐全、分诊细致,多年来不断优化更新诊疗技术,汇聚国内外知名耳鼻咽喉-头颈外科专家,设有七大诊疗中心:鼻科诊疗中心、鼾症诊疗中心、耳聋耳鸣诊疗中心、听力重建中心、外耳再造诊疗中心、中医耳鼻喉诊疗中心、头颈咽喉诊疗中心。开展医疗项目达数百种,开展手术项目包括:鼻炎、鼻窦炎、中耳炎、鼾症、喉癌、头颈部肿瘤、人工耳蜗植入、外耳再造、骨桥植入等耳鼻咽喉-头颈外科领域各类疾病的诊治和手术。2021年,我院外耳再造年手术量全省TOP1,人工耳蜗植入年手术量全省TOP4。
自建院以来,累计服务患者超40万人次,手术总量超过5万台,是河南省耳鼻喉医学领域的领先力量。医院坚持“诚信民生,专业耳鼻喉”的理念,依托先进的设备、权威的专家及专业的诊疗技术,竭诚为患者提供安全、高效、满意的医疗服务。
专家介绍











相关文章
郑州民生耳鼻喉医院是由中卫安健基金(发改委及上海市政府投资的医疗健康基金)投资建设的重点项目。中卫基金是国内同时获得发改委及上海市政府【 查看更多 】